快訊

    鄭家純懷胎9週驚傳流產 「痛到睡不著」曝最新狀況

    2026-01-07 17:02 / 作者 林佳鋒
    鄭家純去年10月補辦婚禮,日前才透露開始備孕,如今卻傳出早期流產。資料照,廖瑞祥攝
    藝人鄭家純(雞排妹)長期關心時事,她2022年嫁給日籍小兒科醫師Akira,並在去年10月補辦婚禮。日前才透露已經開始備孕,沒想到今天(1/7)卻在社群平台宣布胚胎停止發育流產,她形容,昨晚痛到無法入睡,好不容易睡著又痛得醒過來,強調自己未來就算無法順利懷孕生子,也不會找代理孕母。

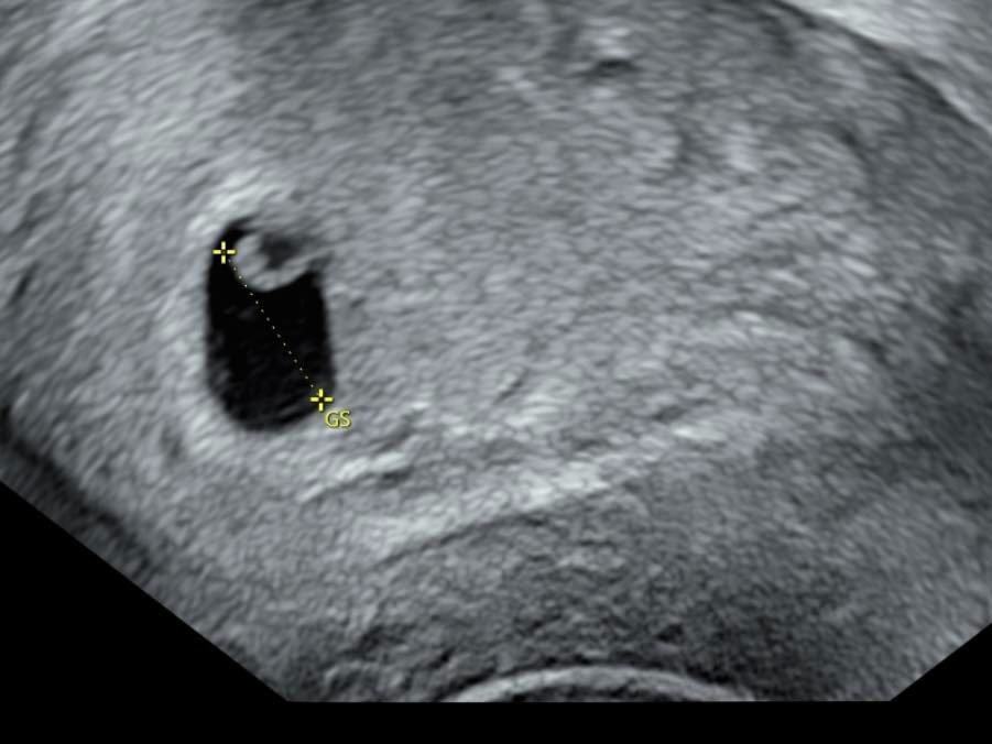
    鄭家純提到,她懷孕9週,昨天確認胚胎停止發育得終止妊娠。半個月前產檢發現胚囊發育晚了一週。醫生說有兩個可能,一個是排卵期晚一週,另一個可能就是胚胎有狀況,下次產檢若沒有照到心跳就是確定停止發育,需安排終止妊娠。

    鄭家純指出,昨天傍晚就開始少量出血,2小時後出血量變多開始腹痛,立刻去急診,在醫院時陸續有排出血塊,照了陰道超音波確認胎囊大小與半個月前產檢時一樣,目前的處置就是回家休息吃止痛藥,等體力恢復後回台灣做後續。

    她指出,昨夜整晚都很痛苦,「凌晨三點吃了止痛藥,還是痛到叫出來沒辦法睡,接著累到睡著,凌晨五點又被痛醒,再一次邊痛邊叫到太累睡著,過幾小時後再被痛醒,到廁所換衛生棉看血塊們。」

    鄭家純透露,自己懷胎9週,卻早期流產。翻攝鄭家純臉書

    鄭家純以親身經歷表示,她反對代理孕母,如果商業代理孕母像她一樣早期流產,是領不到多少錢的。

    鄭家純表示,立法院明天排審《人工生殖法》修正草案,但不論主張有償或無償代孕,在人權、倫理、孕母風險等各方面,都無法讓人接受,「有償代孕的本質,就是比海外代孕便宜幾百萬的交易行為,把孕母視為一個生產的容器,讓不想生或沒辦法生的人,用錢去買別人的器官來延續血緣,這就是商業代孕」。

    鄭家純指出,缺錢的婦女可能會被推出來賣子宮,承擔比非代孕孕婦高三倍的嚴重產婦併發症,「講直白一點就是用命去賭能否成功生完還活下來」,而付錢的委託人通常不會在乎貧窮婦女代孕後有什麼身心影響。

    至於無償代孕呢,鄭家純認為,依照傳統華人社會對香火的執著,家中還沒婚育的年輕女性,會被情勒逼迫幫家中無法生育的男丁當孕母;已婚育的女性甚至更容易被要求幫忙。

    鄭家純提醒,早期流產的機率約15~20%,主因是胚胎染色體異常而發育停止。如果商業代理孕母像她一樣早期流產,是領不到多少錢的。而無償代孕者,除了單純利他情懷的孕母,那些被強迫的代孕者要面對的,會是理解大部分早期流產原因跟孕母毫無關聯的明理人嗎?「所有的血與淚,都是懷孕的那一位獨自承受」。

    鄭家純指出,不希望台灣變成一個可以用錢去買子宮的社會,也不願看到檯面上以「無償代孕」去掩飾會發生剝奪弱勢婦女的行為。「說到底,那些追求台灣代理孕母合法化的人,就是自私利己又想省錢而已,不管是有償還是無償代孕,我都不相信委託人在孕母發生不幸時會多有人性。」
    林佳鋒 收藏文章

    本網站使用Cookie以便為您提供更優質的使用體驗,若您點擊下方“同意”或繼續瀏覽本網站,即表示您同意我們的Cookie政策,欲瞭解更多資訊請見